instituto odontológico en la vall d'uixó,

Ortodoncia en La Vall d'Uixó

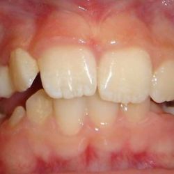
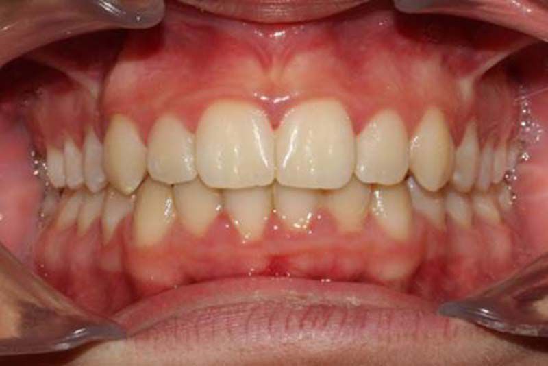
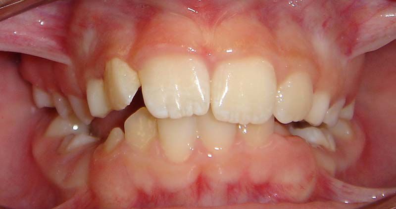
Especialización dedicada a la corrección de las anomalías de forma, posición y funcionalidad de la dentadura

Ortodoncia en La Vall d'Uixó

Redes Sociales

 

Buscador

Contacto

Rovira Instituto Odontologic

  Calle Xacó 4, bajo,
La Vall d'Uixó, 12600, (Castellón)

  96 466 27 81

Ubicación